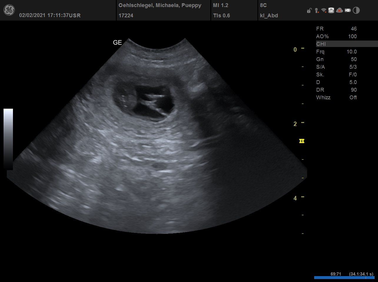
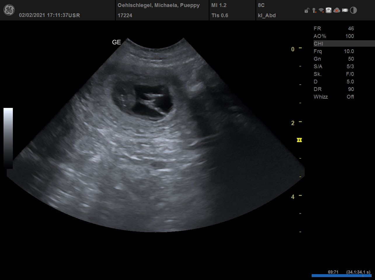
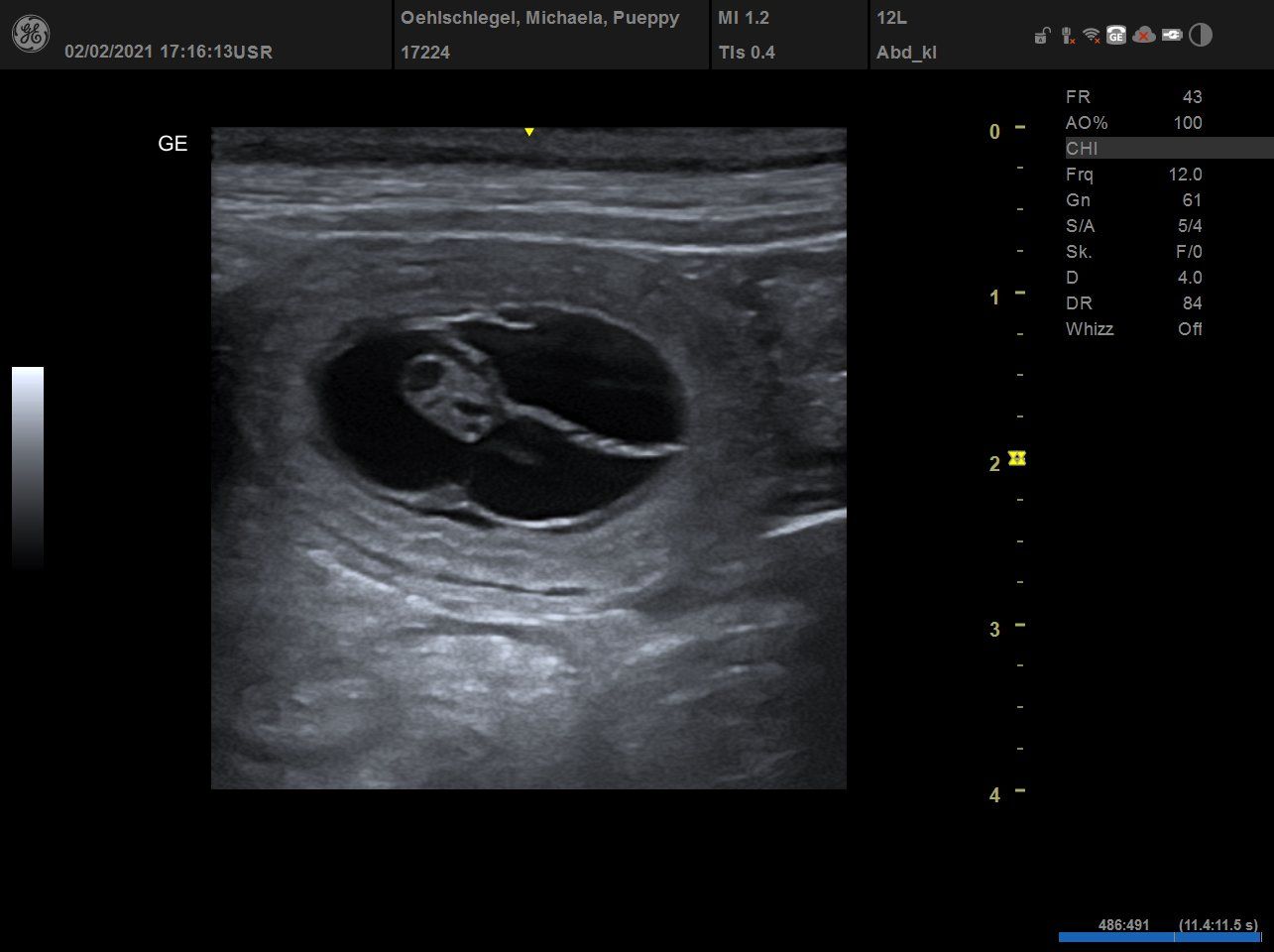
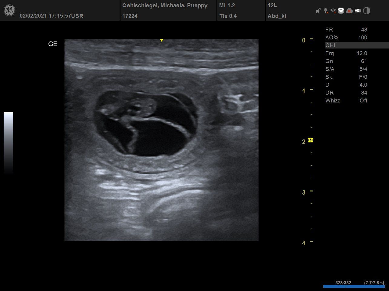
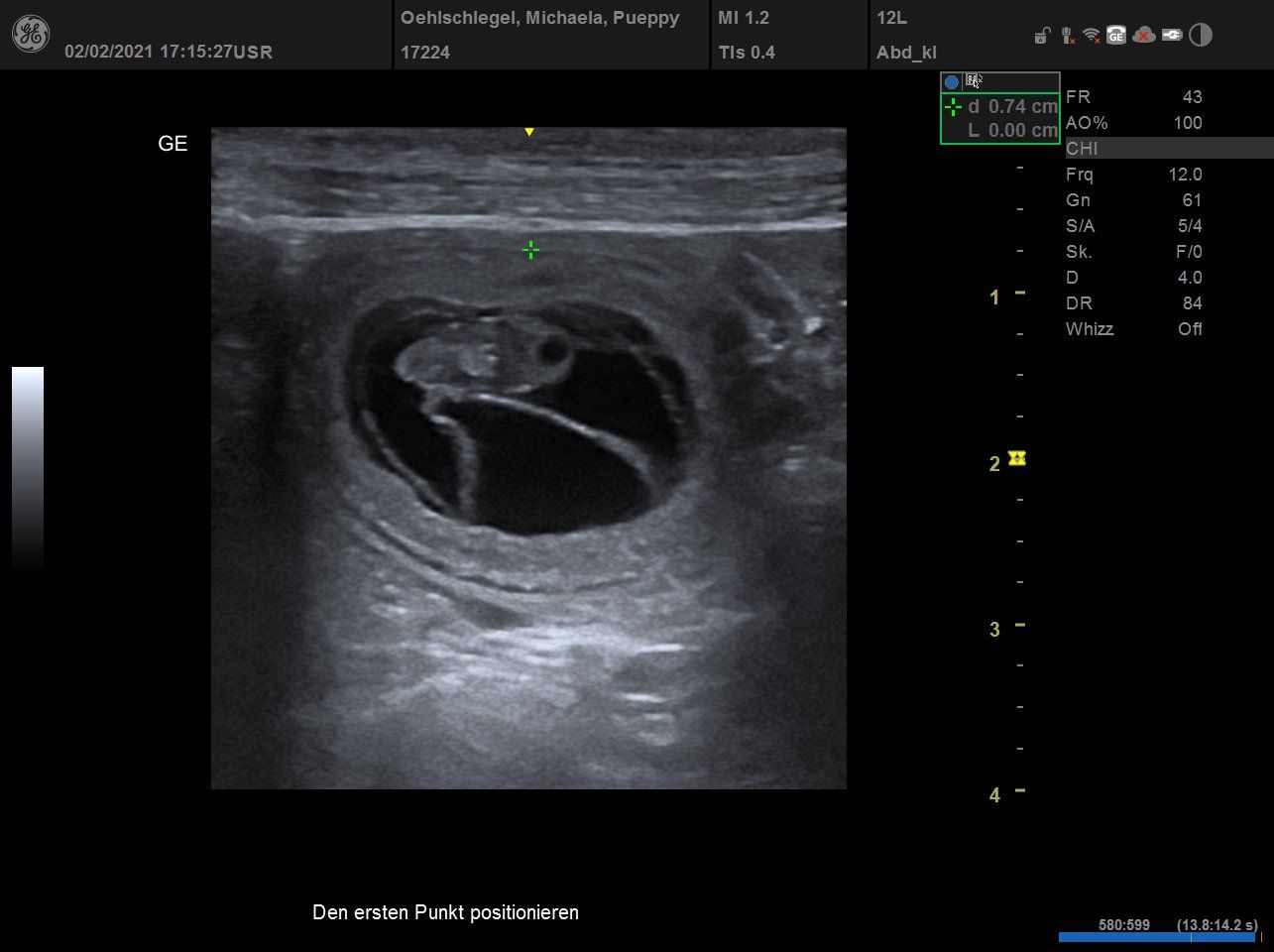
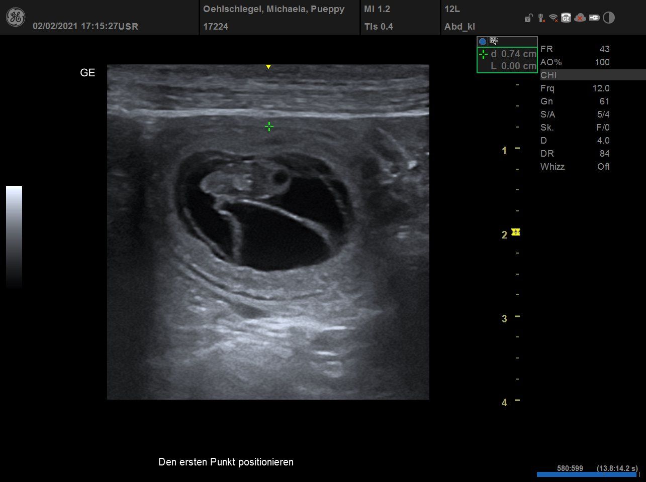
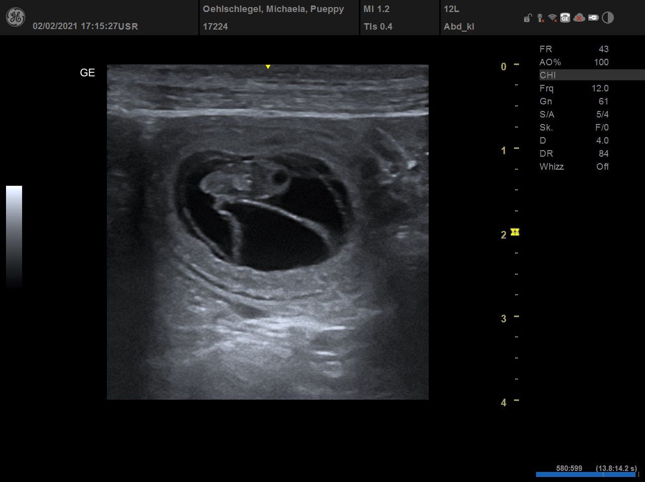
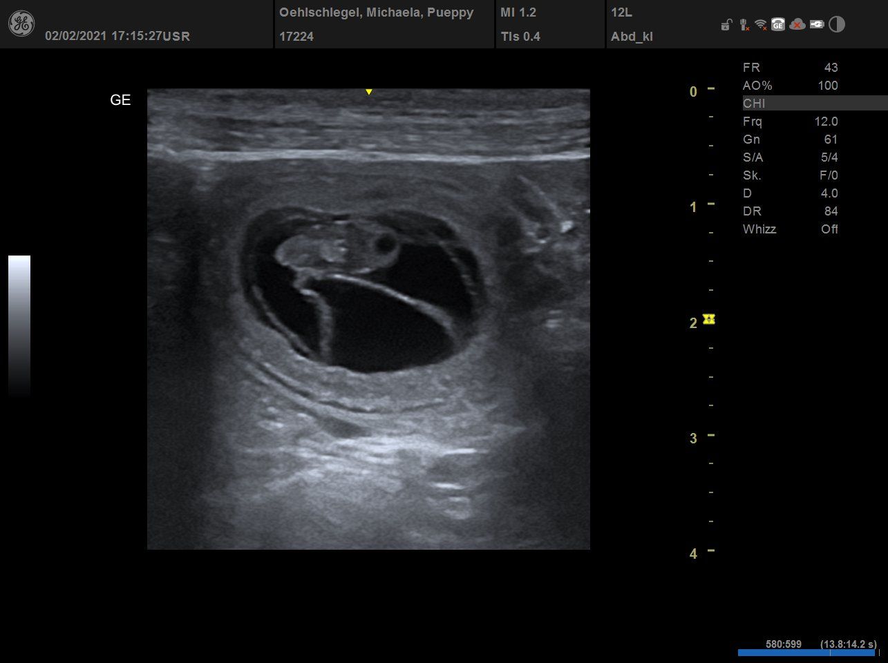
Mama Püppy, wenige Tage vor der Geburt!
Püppy ist fünf Jahre alt geworden im Januar und hat mit der Ingalls Familie den zweiten Wurf bekommen.
Püppy ist eine sehr soveräne und soziale Hündin, die sich mit allen anderen Hunden gut versteht.
Als Mutter ist sie sehr fürsorllich, und gibt sich große Mühe, alles richtig zu machen.
Uns gegenüber ist Püppy eine verkuschelte Maus, die alles für ihre Menschen macht!





















































